◂ Last issue Archive   

Volume 17 (5); 2026

Research Papers

Graphic abstract

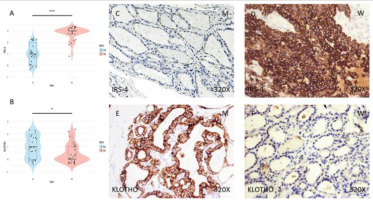
Determination of protein markers of inflammasome formation and ferroptosis in thyroid cancer based on gender Raúl Díaz-Pedrero, Oscar Fraile-Martinez, Cielo García-Montero, Diego Liviu Boaru, Patricia De Castro-Martinez, Diego De Leon-Oliva, Laura López-Gonzalez, Beatriz García-González, Isabel Pérez-González, Majd N. Michael Alhaddadin, Silvestra Barrena-Blázquez, Connie Ferrara-Coppola, Ana María Villar-Carrillo, Laura Gutierrez-Gonzalez, Miguel Pascual-Casero, Félix Mañez, Tomás Ratia Giménez, Inmaculada Lasa-Unzúe, Manuel Díez Alonso, Alberto Gutiérrez-Calvo, Luis G Guijarro, Melchor Álvarez-Mon, Montserrat Chao Crecente, Miguel A Saez, Miguel A Ortega J. Cancer 2026; 17(5): 937-951. doi:10.7150/jca.128886 Full text PDF


Graphic abstract

Exploratory Serum Metabolomics Identifies Metabolic Subgroups Across the Gastric Dysplasia-Early Cancer Spectrum Sihyun Chae, Hee Sang You, Jae Gyu Kim, Joo-Youn Cho J. Cancer 2026; 17(5): 968-978. doi:10.7150/jca.131608 Full text PDF


Graphic abstract

Phenotypic risk factors linked to acute radiation-induced toxicities: a phenome-wide Mendelian randomization study of 12,042 cancer patients Wenyi Jiang, Bo Li, Siyuan Zhang, Xin Sui, Yueting Liang, Minqi Jia, Shaoran Jiang, Lijuan Li, Huajing Teng, Weihu Wang J. Cancer 2026; 17(5): 979-989. doi:10.7150/jca.127072 Full text PDF


Graphic abstract

Hadhb Deficiency Inhibits Lung Tumorigenesis Via Activating ER Stress Wuhou Dai, Dong Xu, Yubin Lei, Shujing Zhang, Tonglu Yu, Wufan Tao, Xiaofeng Chen, Xingrong Du J. Cancer 2026; 17(5): 990-1001. doi:10.7150/jca.130384 Full text PDF


Graphic abstract

Integrative Machine Learning Framework Revealing TRPM4-Associated Signatures and Identifying SPATA6 as a Potential Biomarker in Prostate Cancer Hang Zhou, Wangli Mei, Jichen Wang, Xiang Liu J. Cancer 2026; 17(5): 1002-1017. doi:10.7150/jca.129356 Full text PDF


Graphic abstract

Multi-omics Data Reveal SLC9A3R2 Promotes Breast Cancer Progression and an Immunosuppressive Microenvironment Zujin Chen, Yao Wang, Guixin Wang, Yue Yu, Xin Wang, Xuchen Cao J. Cancer 2026; 17(5): 1018-1031. doi:10.7150/jca.128052 Full text PDF


Graphic abstract

Functional Stratification and Long-Term Care Service Patterns among Discharged Patients with Cancer: A Retrospective Study from Taiwan Hui-Wen Po, Ying-Chien Chu, Hui-Chen Tsai, Tzu-Yu Huang, Chung-Yu Chen J. Cancer 2026; 17(5): 1032-1038. doi:10.7150/jca.134200 Full text PDF


Graphic abstract

Ganoderma lucidum alcohol extract targets mutant p53 signaling to inhibit proliferation in triple-negative breast brain metastasis cancer Yi-Chung Chien, Guo-Wei Wu, Yu-Heng Lin, Jia-Yan Wu, Yung-Luen Yu J. Cancer 2026; 17(5): 1039-1049. doi:10.7150/jca.133558 Full text PDF

Reviews

Graphic abstract

Anticancer Effects of Cepharanthine: an Updated Minireview Pei-Yin Yang, Jyun-Xue Wu, Ya-Hui Chen, Shun-Fa Yang, Yi-Tzu Chu, Yi-Hsuan Hsiao J. Cancer 2026; 17(5): 925-936. doi:10.7150/jca.118647 Full text PDF


Graphic abstract

The Role of Traditional Chinese Medicine in Metabolic Reprogramming, Tumor microenvironment, and Macrophage Regulation: Mechanisms and Advances in Preclinical Studies AnAn Yu, Donglai Yang, Hongyu Chen J. Cancer 2026; 17(5): 952-967. doi:10.7150/jca.126434 Full text PDF

Popup Image